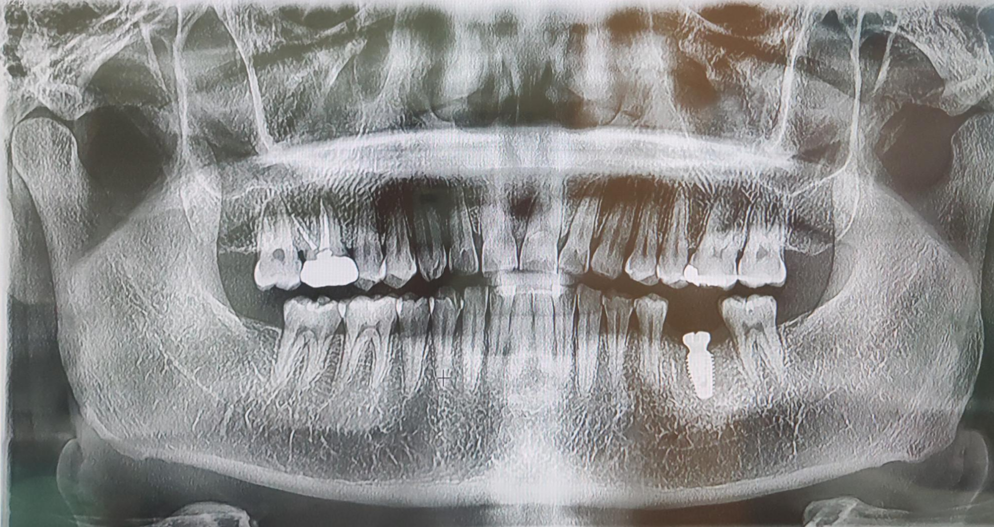
10여년 넘게 잘 사용하던 금이빨을
다시 씌운 이후에, 내부의 이빨이 치근까지 다 썩어 버려
어쩔 수 없이 임플란트를 하게 되었네요.
임플란트하러 갈 요량으로 치과를 수소문하다
워낙 치과진료에 대한 과잉진료 등 불신감이 팽배되어 있던 차에
과거 2005년경 제가 살던 양재동 집의 4층에서 치과기공소를 운영하시던 소장님이 기었났습니다.
너무 착하고 사람 좋으시던 분이라 얼른 연락처를 찾았지요.
그때 임대계약서를 스캔해서 카페에 올려둔게 기억이 나
011 휴대폰 번호를 찾아내 연락이 닿았습니다.
문정동 동부검찰청 인근에 크게 기공소를 오픈하셔서 영업중이시더군요. ㅎㅎ
찾아가서 인사드리고, 이런저런 담소를 나누고 기공소를 나설 때 여쭈었습니다.
"소장님. 거래처 중에서 가장 실력있는 치과 소개를 시켜주세요." 하고 말입니다.
그래서 알게된 치과가 "위례 좋은치과" 였습니다.
제가 움직이기 편하고 임플란트라는 이유로 추천하신건지는 모르지만
지금은, 추천 받은 치과에 방문하여 임픈란트 치료를 받고 있습니다.

헛.. 간호사님 얼굴이...
넘 친절하신 분이니 얼굴 비공개.. ㅋㅋ
송광현 원장님의 얼굴이 똬아악 ~~ !!

대기실 전경입니다. ^^

기둥을 세웠어요 ㅋㅋㅋ

제가 치과 소개 포스팅을 하는 이유는...
1.저 또한 공돌이 출신이라 연장질 하는 사람을 보면 그 사람을 손기술을 갸름합니다.
여기 송광현 원장님 무척 좋으십니다.
2.지금까지 5개월가량 진료/처치를 받는데 불만 사항 하나도 없고 궁금사항도 하나 없습니다.
미리 다 알려주시고 성실히 진료해 주십니다.
3.임플란트 가격 또한 합리적이라 생각됩니다.
가격을 오픈하기 어렵지만, 나름 주변에서 알려준 바 따져보니 그렇다는 겁니다.
싸고 좋은것은 이 세상에 없습니다. ^^;
요즘 한참 치과의 과잉진료가 말이 많은데요.
여기 치과 다니면서 과잉진료라고 느껴진 부분은 없었습니다.
제가 직접 추천받아 방문한 치과이고, 현재 임플란트 시술중에 있으며, 손기술 뛰어난 분이 시술해 주시니 더할 나위 없는 치과라 생각되어 포스팅합니다.
진짜 치과 선택은 잘 하셔야 합니다.
치과 진료를 꿈꾸는 분이라면
강창용원장의 치과의 거짓말 이란 책을 한번 보시고 치과에 가시길 덧붙입니이다.